Ante la presencia de mosquitos en masa en los últimos días, el Director de Programas y Proyectos del Ministerio de Salud, Juan Pascual, indicó que no es conveniente pedir que las autoridades fumiguen. Cada hogar tiene que estar descharrizado y los municipios deben bregar por ello en pos de eliminar el vector del dengue. El clima es propicio y hay que combatir la enfermedad con limpieza. martes, 17 de noviembre de 2009
Municipios y comunidad deben actuar para eliminar los índices vectoriales
Ante la presencia de mosquitos en masa en los últimos días, el Director de Programas y Proyectos del Ministerio de Salud, Juan Pascual, indicó que no es conveniente pedir que las autoridades fumiguen. Cada hogar tiene que estar descharrizado y los municipios deben bregar por ello en pos de eliminar el vector del dengue. El clima es propicio y hay que combatir la enfermedad con limpieza. Ministerio de Salud Pública RECOMENDACIONES ALIMENTARIA-NUTRICIONAL PARA EL VERANO
En la estación de verano se deberá tener en cuenta la selección de los alimentos, como así también el aporte de líquidos. Las frutas y verduras de temporada, con un elevado contenido de agua y otros nutrientes esenciales para nuestro organismo, sacian nuestra hambre y sed de la forma apetitosa y contribuyen a mantener nuestra piel bien nutrida e hidratada. PREVENCIÓN DE DENGUE Se intensifican tareas en el interior de la Provincia.
Con el objetivo de implementar el nuevo método LIRA (levantamiento de índices rápidos de Aedes Aegypti), técnicos de Nación y del Ministerio de Salud de la Provincia arribaron ayer a la localidad de Santo Tomé, donde también capacitaron a los equipos locales y comenzaron con las tareas en terreno. La estratificación de la ciudad incluye a 8 mil viviendas, de las cuales se relevarán muestras de 427 según lo determinado por el Software LIRA.
GRAVE La Sedronar denuncia que los adictos no tienen lugar para internarse
La cantidad de camas cada 100 mil habitantes varía de modo extremo: en Buenos Aires hay 7,96; en La Rioja 25, en Tierra del Fuego 60, en Catamarca “n i n g u n a" En Corrientes solo el 2,36
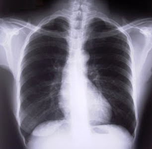
Juventud Sin Tabaco invita a celebrar el día Internacional del Aire Puro
El grupo JuSTa JUVENTUD SIN TABACO le informa las actividades que realizará en el marco del Día Internacional del Aire Puro. Tienen prevista la instalación de una carpa en la peatonal, un programa de concientización para propietarios de restaurantes y una Jornada de Actualización de Tabaquismo en el instituto de cardiología.
Siamesas unidas por la cabeza son separadas en Australia
MELBOURNE (AP).- Unas siamesas de Bangladesh que estaban unidas en la parte superior de sus cabezas y compartían venas y tejido cerebral fueron separadas con éxito el martes luego de una delicada operación que duró 25 horas, informaron directivos del hospital que las atendió en Melbourne.
El Consejo Federal de Salud sesionará en Misiones
En el marco de la quinta reunión del Consejo Federal de Salud que estuvo sesionando en la ciudad de Mar del Plata se anunció que la próxima reunión se realizará en Misiones a mediados de diciembre.
Ya es oficial el decreto para fabricar vacunas contra la gripe A
El decreto 1731/09 declara "de interés público el proyecto de instalación de una planta de elaboración de vacunas antigripales" tanto pandémicas como de carácter estacional, lo que incluye a la cepa H1N1.
Argentina ya superó los 1000 transplantes de órganos
En lo que va del 2009 ya se realizaron 1001 trasplantes de órganos y 757 trasplantes de tejidos en Argentina. Es el cuarto año consecutivo en que se superan los mil trasplantes de órganos. Todas las preguntas sobre esta temática.
Aumenta la mortalidad por Enfermedad Pulmonar Obstructiva Crónica (EPOC)
La Enfermedad Pulmonar Obstructiva Crónica (EPOC) es una irreversible. Se caracteriza por la disminución del flujo de aire en los pulmones, que puede afectar tanto a hombres como a mujeres y que tiene entre sus principales factores de riesgo al tabaquismo, así como también la exposición prolongada e intensa a humo de leña, como se usa en algunos lugares del campo para cocinar o calefaccionar los ambientes.
Un estudio anuncia el éxito con un medicamento de "Viagra para mujeres"
Una investigación reciente financiada por el sector sugiere que el antidepresivo flibanserin, que se ha anunciado como la versión femenina de Viagra, puede aumentar la libido en mujeres que tiene poco deseo sexual.
Pautas para facilitar el cuidado de un enfermo con demencia
Atender a una persona con algún tipo de trastorno cerebral, como el Alzheimer, supone muchos retos para el cuidador
Suscribirse a:
Comentarios (Atom)








